
چرا دندان شیری پوسیده باید ترمیم شود؟ پاسخ کامل دندانپزشک کودکان (راهنمای ۱۴۰۴)
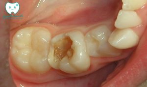
چرا دندان شیری باید ترمیم شود؟ یک سوال رایج در مطب والدین عزیز، یکی از پرتکرارترین و البته قابل درکترین

انجام بیهوشی و آرام بخشی برای درمان دندانپزشکی کودکانی که همکاری ضعیف با پزشک دارند یا خردسالانی که دچار مشکلات سیستمیک هستند؛ تحت نظر متخصصین بیهوشی و کادری مجرب در مراکز جراحی و بیمارستان ها

ترمیم و عصب کشی و روکش دندانهای شیری و دائمی
کشیدن دندانهای شیری غیرقابل نگهداری
ترمیم دندانهای دائمی آسیب دیده طی ضربه

انجام فلورایدتراپی جهت تقویت مینای دندانهای شیری و تقویت جوانه ی دندانهای دائمی و انجام فیشورسیلانت (ماده ای همرنگ دندان، که روی سطح دندانها به منظور پر کردن شیارهای دندانی و جلوگیری از تجمع مواد غذایی و پلاک بر روی آنها استفاده میشود.)
اینجانب فارغ التحصیل رشته ی دندانپزشکی در سال ۹۲ از دانشگاه آزاد تهران هستم. در سال ۹۶ دوره ی تخصص خود را آغاز کردم و در سال ۹۹ با قبولی در بورد تخصصی آن را به پایان رساندم.
از سال ۹۶ تاکنون مشغول کار تخصصی دندانپزشکی کودک و نوجوان درشهرهای اصفهان و شاهین شهر بوده ام.
داشتن دندان هایی سالم و زیبا به همان اندازه که برای بزرگسالان حائز اهمیت است برای کودک و نوجوان شما نیز ارزشمند است. شما میتوانید جهت گرفتن مشاوره، معاینه و درمان برای هر یک از خدمات زیر، به مطب مراجعه فرمایید.




داشتن هر آنچه برای خدمت رسانی بهتر به شما نیاز است

صبر و حوصله و خوشرویی در برخورد با فرزند شما

استریل و ضدعفونی وسایل پس از اتمام کار هر بیمار

ایجاد تجربه ای خوشایند و ماندگار از دندانپزشکی برای فرزندان عزیز شما

با توجه به اینکه دکتر طالبیان پور در سایت دکتر تو عضو هستند، شما میتوانید از سایت دکتر تو در هر ساعت از شبانه روز اقدام به رزرو نوبت فرمایید.

چرا دندان شیری باید ترمیم شود؟ یک سوال رایج در مطب والدین عزیز، یکی از پرتکرارترین و البته قابل درکترین

آنچه در این مقاله میخوانید: فضا نگهدارنده دندان چیست و چرا برای لبخند آینده کودک شما حیاتی است؟ چرا دندانهای

نگران پوسیدگی دندان کودک خود هستید؟ با روشهای نوین ترمیم پوسیدگی اولیه بدون تراش، تجربهای آرام و بدون استرس را