نگران پوسیدگی دندان کودک خود هستید؟ با روشهای نوین ترمیم پوسیدگی اولیه بدون تراش، تجربهای آرام و بدون استرس را به فرزندتان هدیه دهید.
آنچه در این مقاله میخوانید:
صدای دریل دندانپزشکی، کابوس مشترک والدین و کودکان
والدین عزیز، به خوبی درک میکنم که یکی از بزرگترین نگرانیهای شما هنگام مراجعه به دندانپزشکی، صدایی است که همه ما از آن خاطرهای ناخوشایند داریم: صدای دریل. این صدا میتواند برای کودک دلبند شما اضطرابآور باشد و تجربه دندانپزشکی را برای او و شما به یک چالش تبدیل کند. اما خبر بسیار خوبی برایتان دارم: علم دندانپزشکی کودکان پیشرفت کرده و امروز میتوانیم در بسیاری از موارد، بدون نیاز به آن صدای نگرانکننده، با پوسیدگیهای اولیه دندان خداحافظی کنیم. ترمیم پوسیدگی بدون تراش دیگر یک رویا نیست، بلکه یک واقعیت علمی و در دسترس برای حفظ لبخند زیبای فرزند شماست.
کلید طلایی: تشخیص به موقع پوسیدگی در مراحل اولیه
شاید بپرسید چطور چنین چیزی ممکن است؟ پاسخ در یک کلمه نهفته است: تشخیص. زمانی که پوسیدگی دندان در مراحل اولیه خود قرار دارد، یعنی هنوز به یک حفره عمیق تبدیل نشده و تنها به صورت یک لکه سفید گچی (White Spot) روی مینای دندان ظاهر شده است، ما به عنوان متخصص دندانپزشکی کودکان میتوانیم فرآیند پوسیدگی را متوقف و حتی معکوس کنیم. در این مرحله، ساختار دندان هنوز سالم است و نیازی به تراشیدن بافت دندانی نیست. به همین دلیل است که معاینات منظم و دورهای، یک سرمایهگذاری حیاتی برای سلامت و آرامش فرزند شما محسوب میشود.

روشهای نوین ترمیم پوسیدگی بدون تراش: انقلابی در آرامش کودک
در دندانپزشکی مدرن کودکان، ما از چندین روش علمی و کاملاً بدون درد برای مدیریت این لکههای سفید اولیه استفاده میکنیم. این روشها نه تنها نیازی به تراش و بیحسی ندارند، بلکه تجربهای مثبت و آرام برای کودک ایجاد میکنند. در ادامه با مهمترین این روشها آشنا میشوید:
۱. فلورایدتراپی موضعی غلیظ
یکی از موثرترین و سادهترین راهها برای تقویت مینای دندان و متوقف کردن پوسیدگی اولیه، استفاده از وارنیش فلوراید با غلظت بالاست. این ماده که طعمهای دلپذیری برای کودکان دارد، به سادگی و در چند ثانیه با یک برس کوچک روی سطح دندانها مالیده میشود. فلوراید به مواد معدنی از دست رفته مینای دندان کمک میکند تا دوباره به ساختار آن بازگردند (فرآیندی به نام رمینرالیزاسیون) و دندان را در برابر حملات اسیدی آینده مقاومتر میسازد. برای اطلاعات بیشتر درباره این روش و مقایسه آن با فیشورسیلانت، میتوانید مقاله فیشورسیلانت یا فلورایدتراپی؟ راهنمای کامل والدین را مطالعه کنید.
۲. استفاده از مواد نفوذکننده (Resin Infiltration – ICON)
این روش یک تکنیک انقلابی برای ترمیم پوسیدگی بدون تراش در مراحل اولیه است. در این روش، ما از یک ماده رزینی بسیار روان استفاده میکنیم که به داخل خلل و فرج میکروسکوپی ایجاد شده در مینای دندان نفوذ میکند. این رزین پس از نفوذ، با نور مخصوص سفت شده و تمام مسیرهای پیشرفت پوسیدگی را مسدود میکند. این فرآیند کاملاً بدون درد است، نیازی به تزریق بیحسی ندارد و در یک جلسه کوتاه، لکه سفید پوسیدگی را متوقف و ظاهر دندان را نیز بهبود میبخشد.
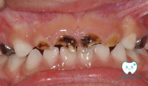
۳. سیلور دی آمین فلوراید (SDF)
SDF یک ماده ضدمیکروبی بسیار قوی است که میتواند به سرعت باکتریهای عامل پوسیدگی را از بین برده و فرآیند تخریب دندان را متوقف کند. این روش به ویژه برای کودکان بسیار کوچک، مضطرب یا کودکانی که توانایی همکاری لازم برای درمانهای طولانیتر را ندارند، یک گزینه فوقالعاده است. استفاده از آن بسیار سریع و بدون درد است. تنها نکتهای که والدین باید بدانند این است که SDF ناحیه پوسیدگی را به رنگ تیره (سیاه) در میآورد. اگرچه این تغییر رنگ ممکن است از نظر زیبایی خوشایند نباشد، اما در مواردی که حفظ دندان و جلوگیری از درد و عفونت در اولویت اصلی قرار دارد، یک انتخاب درمانی بسیار ارزشمند است.

مزایای ترمیم بدون تراش برای کودک شما چیست؟
انتخاب روشهای بدون تراش برای درمان پوسیدگیهای اولیه، دنیایی از تفاوت را برای تجربه دندانپزشکی کودک شما رقم میزند:
- حذف کامل ترس و اضطراب: عدم استفاده از دریل و تزریق، مهمترین عامل استرسزا را از فرآیند درمان حذف میکند.
- تجربهای کاملاً بدون درد: این روشها به قدری ملایم هستند که کودک هیچگونه دردی را احساس نخواهد کرد.
- حفظ ساختار سالم دندان: برخلاف پرکردنهای سنتی، هیچ بخش سالمی از دندان تراشیده نمیشود.
- صرفهجویی در زمان و هزینه: این درمانها معمولاً سریعتر و کمهزینهتر از ترمیمهای سنتی هستند.
- ایجاد نگرش مثبت به دندانپزشکی: یک تجربه آرام و مثبت در کودکی، سنگ بنای مراقبتهای دهان و دندان برای تمام عمر خواهد بود. این رویکرد بخشی از فلسفه دندانپزشکی بدون درد برای کودکان است که ما به آن متعهد هستیم.
آیا فرزند من کاندید مناسبی برای این روشها است؟
ترمیم پوسیدگی بدون تراش یک گزینه فوقالعاده است، اما باید تاکید کنم که این روشها تنها برای پوسیدگیهای بسیار اولیه و سطحی که هنوز حفرهای در دندان ایجاد نکردهاند، کاربرد دارند. اگر پوسیدگی از مینا عبور کرده و به لایه زیرین (عاج) رسیده باشد یا حفرهای روی دندان ایجاد شده باشد، دیگر نمیتوان از این تکنیکها استفاده کرد و به درمانهای ترمیمی سنتی نیاز خواهد بود. تشخیص دقیق مرحله پوسیدگی و انتخاب بهترین روش درمانی، تنها توسط دندانپزشک متخصص کودکان و پس از معاینه دقیق و گاهی با کمک رادیوگرافی امکانپذیر است. برای درک بهتر مراحل مختلف پوسیدگی، مطالعه مقاله پوسیدگی زودرس دندان در کودکان: علل، پیشگیری و جدیدترین روشهای ترمیم میتواند برای شما مفید باشد.
یک قدم تا لبخند بدون استرس: با هم پیشگیری کنیم
والدین گرامی، بهترین درمان همیشه پیشگیری است. با رعایت بهداشت دهان و دندان، رژیم غذایی سالم و مهمتر از همه، انجام معاینات منظم شش ماهه، میتوانیم از همان ابتدا جلوی پیشرفت پوسیدگی را بگیریم. به خاطر داشته باشید که تشخیص زودهنگام، کلید بهرهمندی از درمانهای بدون درد و بدون تراش است. بیایید با هم همکاری کنیم تا فرزند شما نه تنها دندانهایی سالم، بلکه خاطرهای شیرین و آرام از دندانپزشکی داشته باشد و لبخند زیبایش تا همیشه بدرخشد.
سوالات متداول
آیا واقعاً میتوان پوسیدگی دندان کودک را بدون استفاده از دریل و تراش درمان کرد؟
بله، این کاملاً امکانپذیر است. زمانی که پوسیدگی در مراحل بسیار اولیه خود باشد (به صورت لکه سفید گچی روی مینای دندان)، میتوان با روشهای نوین دندانپزشکی، فرآیند پوسیدگی را بدون نیاز به هیچگونه تراش یا بیحسی متوقف و حتی معکوس کرد. کلید اصلی، تشخیص به موقع از طریق معاینات منظم است.
فرزند من در چه صورتی کاندید مناسبی برای درمان پوسیدگی بدون تراش است؟
این روشها تنها برای پوسیدگیهای سطحی و اولیه که هنوز به شکل حفره در نیامدهاند، کاربرد دارند. اگر پوسیدگی از مینای دندان عبور کرده و حفرهای ایجاد شده باشد، دیگر نمیتوان از این تکنیکها استفاده کرد و نیاز به ترمیمهای سنتی (پر کردن) خواهد بود. تشخیص نهایی این موضوع تنها توسط دندانپزشک متخصص کودکان امکانپذیر است.
مهمترین روشهای درمان بدون تراش کدامند و آیا برای کودک دردناک هستند؟
خیر، این روشها کاملاً بدون درد هستند و تجربهای آرام و مثبت برای کودک ایجاد میکنند. سه روش اصلی عبارتند از: ۱. فلورایدتراپی موضعی غلیظ برای تقویت مینای دندان. ۲. مواد نفوذکننده (ICON) که خلل و فرج اولیه پوسیدگی را پر کرده و آن را مسدود میکند. ۳. سیلور دی آمین فلوراید (SDF) که باکتریهای عامل پوسیدگی را از بین میبرد.
آیا این روشها عوارضی هم دارند؟ مثلاً شنیدهام یکی از آنها دندان را سیاه میکند.
تنها روشی که تغییر رنگ ایجاد میکند، سیلور دی آمین فلوراید (SDF) است که ناحیه تحت درمان را به رنگ تیره (سیاه) در میآورد. اگرچه این موضوع از نظر زیبایی ممکن است ایدهآل نباشد، اما این روش یک انتخاب بسیار ارزشمند برای متوقف کردن سریع پوسیدگی در کودکان بسیار کوچک یا مضطرب است که حفظ دندان و جلوگیری از درد در اولویت اصلی قرار دارد. سایر روشها مانند فلورایدتراپی و ICON چنین اثری ندارند.
لبخند کودک دلبندتان را بدون استرس حفظ کنید
نگرانی شما از تجربه دندانپزشکی فرزندتان کاملاً قابل درک است. خوشبختانه علم دندانپزشکی پیشرفت کرده و میتوان پوسیدگیهای اولیه را بدون نیاز به تراش و صدای ناخوشایند دریل، متوقف و درمان کرد. برای بررسی شرایط دندانهای کودک شما و اطلاع از بهترین روش درمانی، میتوانید برای یک جلسه مشاوره و معاینه تخصصی، نوبت خود را رزرو کنید.